我们体内的免疫细胞,一直坚守在自己的岗位上,时刻保护着我们的健康它们坚持着“007”的状态,风雨无阻、全年无休,真正的“劳模”非它们莫属!
我们人体免疫系统具有免疫防御、免疫自稳、免疫监视的作用,由免疫器官、免疫细胞和免疫分子组成,其中免疫细胞是免疫系功能的主要执行者。

免疫细胞,是指参与免疫应答或与免疫应答相关的细胞。它们种类丰富,例如我们熟知的T细胞、NK细胞、巨噬细胞、树突状细胞等。
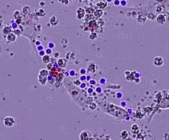
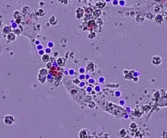
NK细胞又称自然杀伤细胞,简单粗暴的中文名就概括了它们的特性,它们能对身体遇到的病毒、细菌、癌细胞等“敌人”迅速做出反应。
NK细胞(蓝色标记物)正在攻击卵巢癌细胞

NK细胞(蓝色标记物)将卵巢癌细胞“大卸八块”
T细胞最大的特点是拥有一双能识别敌方是敌是友的“火眼金睛”,能精准识别并消灭癌细胞,也被称为人体“特种兵”。

当T细胞(绿色)发现癌细胞时,通过分泌的毒素附着在癌细胞上,
来检测、分辨正常细胞与癌细胞

查明之后,T细胞(棕色)连接癌细胞,打破癌细胞外壁,
向其表面引入毒性蛋白,将其消灭
巨噬细胞在人体中分布广泛,形态多样,它们主要是对老弱病残细胞以及病原体进行噬菌作用(即吞噬以及消化)。

巨噬细胞正在一步一步逼近细菌(绿色标记物)

巨噬细胞将细菌(绿色标记物)“一口吃掉”
再敬业的“劳模”也有疲惫的一天,我们身体内的免疫细胞也不例外。在不经意间,现代生活的很多不良习惯都在伤害着它们。
No.1抽烟:阻碍免疫细胞前进道路
2016年,著名生物杂志Cell就发表了一项研究表明,吸烟会阻塞关键的免疫细胞,延缓它们的行动,阻碍它们对抗感染的能力。
No.2肥胖:脂肪可能让免疫细胞“吃不饱”
2020年哈佛医学院等单位的研究人员在 Cell 杂志发表的研究论文指出:
肥胖会减少肿瘤内重要免疫细胞CD8+T细胞的数量和抗肿瘤活性。
No.3熬夜:熬夜一时爽,免疫细胞很受伤
2019年来自德国图宾根大学的Stoyan Dimitrov博士和他的团队就发现了熬夜对免疫细胞的危害:影响正常免疫功能,长期睡眠不足,有可能导致免疫系统的崩溃[4]。

免疫细胞疗法是指在体外对免疫细胞进行针对性的处理后再回输人体内,使其表现出杀伤肿瘤细胞、清除病毒、调理亚健康等功能。
免疫细胞疗法作为一类迅速崛起的治疗方法,具有广阔的发展前景。它的基本原理是采集人体自身免疫细胞,经过体外培养,使其数量呈倍数增多,靶向性杀伤功能增强,然后再回输至人体来杀灭血液及组织中的病原体、癌细胞、突变细胞的一种生物免疫治疗手段,在治疗过程中将打破人体免疫耐受,激活和增强机体的免疫能力,兼顾治疗和保健的双重功效。
随着技术的不断进步和临床实践的积累,免疫细胞疗法在未来有望实现更加个体化、精确和高效的治疗,并为临床医学带来新的突破。