服务热线
138 2308 5206

news
新闻中心
慢性肾脏病(CKD)是一种严重疾病,患者肾功能呈进行性下降,且通常与心脏病或卒中的风险增加相关。据统计,该病影响全球近8.5亿人口。
在我国,成人慢性肾脏病患病率约为10.8%,按照中国总人口数量估计,患者约为1.5亿,却仅有12.5%的患者就诊,已接受治疗的患者仅占发病人数的7.5%。慢性肾脏病因其患病率高,病程时间长、缺乏有效药物治疗等多方面因素,给个人、家庭和社会造成很大的疾病与经济负担。
朋友,你的肾还好吗? Popular Science Of SC 我们在电视广告上经常看到类似关于肾脏不好的广告,其实关于肾脏不好的各种慢性肾病大多发生在中年人群中。根据流行病学的研究数据发现,在我国,慢性肾病的发病率为10.8%,而尿毒症(肾衰竭末期)发病率为每百万人口300-400人。这说明肾病正在悄无声息地威胁着我们的健康。 近年来,我国急慢性肾病的发病率呈逐年上升趋势。因此,临床上急需寻找更有效地干预肾病,促进肾组织修复的干预手段。 干细胞是目前再生医学领域的研究热点,是当今生物医学研究中最激动人心的研究领域,是最具应用前景的前沿学科。 干细胞在肾病领域中也越来越受到医学界重视。目前,干细胞用于糖尿病肾病、狼疮肾炎已相继进入我国干细胞备案的临床阶段,并且开展多中心临床研究方式,提高了临床试验的真实有效性。 干细胞已逐渐在慢性肾病、急性肾损伤、糖尿病肾病、肾纤维化等肾脏疾病的基础研究中表现出良好研究成果,为临床应用奠定了基础。 间充质干细胞的特性和优势 Popular Science Of SC 间充质干细胞(mesenchymal stem cells,MSCs)是一类起源于中胚层的具有自我更新与多向分化潜能的成体干细胞,其来源主要包括脐带、脐带血、胎盘、等。MSCs 呈现纤维细胞形态特征,为长梭型或纺锤状,贴壁生长,选择性旁分泌水平较高。MSCs 具有很强的自我更新能力,其免疫原性低且无排异反应,在干细胞研究及转化应用领域更有优势。 到目前为止,已有的研究证实:间充质干细胞具有强大的抗炎特性和免疫调节功能,在干预多种肾病上具有很大的优势。 分化作用: 由于归巢效应,干细胞会自动趋附到肾脏病灶,分化成肾固有细胞,肾实质细胞,肾小球上皮细胞等。从而修复受损肾脏,重建肾脏血液循环,改善肾脏功能。 旁分泌作用: 释放的某种活性因子还会刺激肾细胞分泌促红素,而促红素可以促使红细胞的生成,这样就缓解了机体贫血的状况。


免疫调节作用:
干细胞具有免疫调节的功能,可有效减轻肾小球肾炎症状,来实现对肾脏的改善作用。
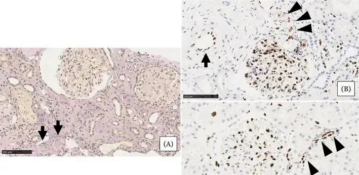
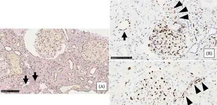
间充质干细胞干预肾病的最新进展 Popular Science Of SC 慢性肾病 各种原因引起的慢性肾脏结构和功能障碍≥3个月成为慢性肾病,主要指标是肾小球滤过率GFR<60mL/min。 慢性肾脏病(CKD)是我国成年人高发的一种疾病,患病人群大,而且每年以10%的速度进行递增,慢性肾脏病干预不及时可能导致尿毒症。据了解,我国约有9成人群不知自己得了“慢性肾脏病”。 脐带间充质干细胞(UCMSC)主要通过定向归巢和分化、分泌细胞因子和营养物质促进损伤修复,可使氧化损伤和炎症细胞因子的局部表达减少,调节T淋巴细胞池增加,从而抑制慢性炎症反应和促进肾小管上皮再生速度。 大量的临床前动物慢性肾病模型细胞使用实验研究已经证明,外源性 UCMSC即便在肾组织中分布较少,但结果同样显示出一定的疗效,可以促进肾脏血管的微循环,改善肾功能,并且通过一系列复杂机制促进肾损伤修复,延缓CKD的进程。研究还发现,间充质干细胞的这些作用机制更多源于其“旁分泌”特性,而不是复制分化潜能。 急性肾损伤 急性肾损伤(acute kidney injury,AKI)是严重危害健康的重要疾病,近年来其发病率有逐年增多的趋势。 重症AKI死亡率高、预后差,约50%最终进展为尿毒症。AKI还会增加机体各系统的并发症,医疗花费大。AKI缺乏有效治疗手段,临床上通常以去除病因、纠正可逆危险因素,进行对症治疗、支持治疗或者肾脏替代治疗。目前国内外没有特异性治疗AKI的药物,无法减轻已发生的肾脏损伤,无法促进损伤细胞正常修复,或抑制病理性修复。 循证医学研究表明,肾脏替代治疗无论启动时间早或晚、不同的使用剂量,均未证明对AKI患者及肾脏预后有改善作用。因此,研究AKI新的干预方法,对降低患者死亡率,改善肾脏预后至关重要。 2008年开展了MSC用于AKI的临床研究,评价MSC在心脏直视手术后AKI中应用的安全性和有效性。对16例AKI高危患者,术后经股动脉导管注入脐带源性MSC。经过6个月的随访没有观察到严重不良反应。说明脐带MSC是一种安全的干预方法。随后在2017年开展的MSC用于AKI的多中心随机对照临床研究,观察MSC加速AKI肾功能恢复的疗效。156例心脏手术患者接受MSC调理,结果发现MSC安全、患者耐受性良好。 日前,日本湘南镰仓综合医院研究团队在《干细胞转化医学》上发表文章,分享了利用干细胞成功干预急性肾损伤患者的经验。 据了解,这个临床研究是采用外周血CD34+细胞用于一名36岁男性患者的严重急性肾损伤,因顽固性高血压合并微血管病态溶血导致急性肾损伤合并慢性缺血性肾损伤,经血液透析后血肌酐水平仍然很高,因此接受了干细胞干预。 研究人员将干细胞直接输入双侧肾动脉。细胞使用后除了出现一过性发热和血小板增多外,未出现任何重大不良事件。细胞使用后23周,他的血清肌酐水平显著改善,肾功能得到有效改善,此外仅用60mg硝苯地平和20mg奥美沙坦便可以很好地控制之前难以控制的顽固性高血压。 该案例初步证实干细胞用于急性肾损伤安全有效,但由于数据有限,未来还需要更大规模的临床试验来评价其长期效果。 干细胞干预急性肾损伤的机制是多因素的,即可通过自我更新能力分化成肾脏细胞,又可通过释放细胞因子或生长因子加速其修复。此外,干细胞作用于急性肾损伤机制的各个环节,通过旁分泌、抗炎和免疫调节性能,从而实现肾脏保护。 在基础研究证实间充质干细胞及其他类型干细胞对急性肾损伤的干预效果后,不少科学家已经开展临床试验来进行进一步验证。截止目前,已经有多项间充质干细胞用于急性肾损伤的临床试验注册在美国国立卫生研究院的最大临床试验注册库http://clinicaltrials.gov上。 糖尿病肾病 糖尿病肾病(diabetic nephropathy, DN)是糖尿病最主要的微血管并发症之一,其发生率在糖尿病病程后期可达30%~40%,其中5%~10%的患者会恶化成终末期肾病,其肾脏功能基本丧失,只有进行血液透析或肾移植才能维持、挽救生命。 随着消费水平的提升和饮食结构的改变,糖尿病患者数量大幅攀升,数据显示每100个成人中就有12个糖尿病人,糖尿病肾病已成为临床重大疾病防控的重点。鉴于目前临床上缺乏防治糖尿病肾病的有效措施,因此探索修复糖尿病肾病的新策略意义重大。 日前,合作医院“脐带间充质干细胞修复糖尿病肾病的临床研究”项目已通过国家卫生健康委员会和国家药品监督管理局审核成功备案。 研究显示,20例受试者干细胞干预调理后证实安全可靠。间充质干细胞能够迁移至体内损伤部位修复损伤组织细胞,并通过大量分泌细胞因子抑制炎性反应,调节免疫功能,刺激内源性干细胞的增殖与分化。 肾脏纤维化 肾脏纤维化(Renal fibrosis)是一种病理生理改变,是肾脏的功能由健康到损伤,再到损坏,直至功能丧失的渐进过程。 我们知道,肾脏是由肾小球、肾小管和间质等组成。肾脏纤维化包括肾小球的纤维化和间质的纤维化。肾脏的功能主要是肾小球的滤过和肾小管的重吸收,以及间质细胞的内分泌功能。当肾小球发生纤维化后,滤过功能受损,毒素无法排出体外,血浆中的蛋白丢失,引起肾功能损害,临床表现为血肌酐上升、蛋白尿、水肿等。间质纤维化主要是指肾小管上皮细胞发生损害,通过一系列病理过程转变为间质细胞,丧失了肾小管的重吸收功能。通俗的来讲,肾脏纤维化就是肾脏“变硬”了,形成了疤痕,丧失了正常的功能。 当90%的肾脏细胞都已经纤维化,也即残存的肾单位低于10%时,患者就会出现严重的代谢性酸中毒症状,心脏、大脑等都会出现一系列恶化症状,这时也就进入了终末期肾衰竭,即尿毒症时期。 因此,目前我们将逆转纤维化的重任寄希望于干细胞再生医学技术上,希望通过组织微环境的调控,激活肾脏的干细胞,让丢失的正常细胞重新生长出来,修复纤维化肾脏。 科学家们已经进行了大量的动物实验,发现MSC在修复肾脏纤维化中有很好的作用,并且无论是自体来源还是异体来源的MSC,均能发挥抗纤维化的作用。 下表是论文“Mesenchymal Stem Cells in Renal Fibrosis: The Flame of Cytotherapy”中为读者列举的一些研究实例。 Semeclo证实干细胞可能通过免疫反应调节和增强抗纤维化分子表达改善肾功能和减轻肾纤维化。Villanueva,Lee,Wu等证实使用MSC可以改善肾功能,同时减轻肾脏损伤,减少胶原蛋白在肾脏沉积、抑制模型动物肾纤维化。朱凤阁等使用C57/BL6小鼠建立单侧输尿管梗阻(UUO)小鼠模型,术后立即从尾静脉靶向使用间充质干细胞(MSCs),发现MSCs对肾小管间质纤维化的保护作用,部分归因于其促进肾脏内三级淋巴样器官的新生。 间充质干细胞通过外泌体中let7c调控TGFβ、胶原蛋白IVα 1和mmp9等表达抑制肾纤维化,从而减轻肾纤维化的程度,改善肾结构和功能。 目前,国内外已有的临床试验证实了干细胞可用于多种急慢性肾病的修复干预是有效安全的,通过MSCs的干预调节可改善肾纤维化,提高肾功能,为肾病患者的临床干预提供了新方法,相信未来干细胞技术能让更多的肾病患者受益。







微
信
公
众
号
地址:珠海市横琴新区横琴国际创新中心兴科五巷85号204-205、207、兴科二巷72号301、302、303、304、305、306、307
联系电话:138 2308 5206,150 8810 7345
联系人:酆先生
为您提供专业的服务
THE:138 2308 5206